Νέα

Οι πρώτες επεμβάσεις κατάλυσης με καθετήρες (ablation) για την κολπική μαρμαρυγή στην Κεντρική Ελλάδα πραγματοποιήθηκαν στο ΙΑΣΩ Θεσσαλίας

Οι πρώτες επεμβάσεις κατάλυσης με καθετήρες (ablation) για την κολπική μαρμαρυγή στην Κεντρική Ελλάδα πραγματοποιήθηκαν στο ΙΑΣΩ Θεσσαλίας

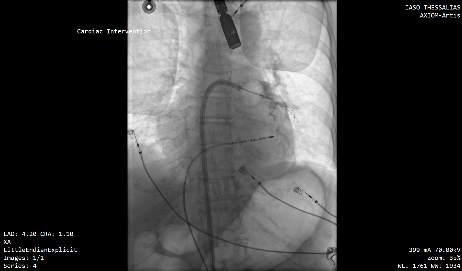
Μια νέα εποχή στην αντιμετώπιση των καρδιακών αρρυθμιών εγκαινιάζεται στην Κεντρική Ελλάδα, καθώς οι πρώτες επεμβάσεις κατάλυσης με καθετήρες (ablation) για τη θεραπεία της κολπικής μαρμαρυγής πραγματοποιήθηκαν με απόλυτη επιτυχία στο ΙΑΣΩ Θεσσαλίας.

Οι επεμβάσεις διενεργήθηκαν από τον Επεμβατικό Ηλεκτροφυσιολόγο Δημήτριο Α. Ιατρόπουλο, σε συνεργασία με τον Αναισθησιολόγο Δήμο Χαραλαμπίδη, τον Καρδιολόγο Αργύρη Γκαρμπούνη και την άρτια εκπαιδευμένη ομάδα του τεχνολογικού και νοσηλευτικού προσωπικού του Αιμοδυναμικού Εργαστηρίου του ΙΑΣΩ Θεσσαλίας.

Η κατάλυση με καθετήρες βασίζεται στην επιστημονικά τεκμηριωμένη αρχή ότι, στη μεγάλη πλειονότητα των ασθενών, η κολπική μαρμαρυγή εκκινεί από τις πνευμονικές φλέβες. Με την επιτυχή ηλεκτρική απομόνωσή τους από τον αριστερό κόλπο, η αρρυθμία παύει να μπορεί να πυροδοτηθεί.

Στις συγκεκριμένες επεμβάσεις εφαρμόστηκε η σύγχρονη τεχνική κρυοκατάλυσης με τη χρήση ειδικού μπαλονιού κρυοπηξίας (Cryoballoon), το οποίο επιτρέπει την ελεγχόμενη ψύξη («πάγωμα») του καρδιακού ιστού γύρω από τις πνευμονικές φλέβες, επιτυγχάνοντας με ασφάλεια και ακρίβεια την ηλεκτρική τους απομόνωση. Η μέθοδος χαρακτηρίζεται από υψηλά ποσοστά επιτυχίας, μειωμένο χρόνο επέμβασης και ταχεία ανάρρωση των ασθενών.

Το Ηλεκτροφυσιολογικό Εργαστήριο του ΙΑΣΩ Θεσσαλίας στελεχώνεται από εξειδικευμένο επιστημονικό προσωπικό υψηλού επιπέδου και διαθέτει υπερσύγχρονη υλικοτεχνική υποδομή, ικανή να αντιμετωπίσει όλο το φάσμα των καρδιακών αρρυθμιών με ασφάλεια και αποτελεσματικότητα. Η έναρξη της λειτουργίας του σηματοδοτεί μια νέα, ουσιαστική αναβάθμιση των παρεχόμενων καρδιολογικών υπηρεσιών στην περιοχή, προσφέροντας στους ασθενείς της Κεντρικής Ελλάδας πρόσβαση σε εξειδικευμένες επεμβατικές θεραπείες χωρίς την ανάγκη μετακίνησης σε μεγάλα αστικά κέντρα.

    Δειτε επισης:

    Οι πρώτες επεμβάσεις κατάλυσης με καθετήρες (ablation) για την κολπική μαρμαρυγή στην Κεντρική Ελλάδα πραγματοποιήθηκαν στο ΙΑΣΩ Θεσσαλίας
    ΙΑΣΩ ΘΕΣΣΑΛΙΑΣ

    Οι πρώτες επεμβάσεις κατάλυσης με καθετήρες (ablation) για την κολπική μαρμαρυγή στην Κεντρική Ελλάδα πραγματοποιήθηκαν στο ΙΑΣΩ Θεσσαλίας

    Μια νέα εποχή στην αντιμετώπιση των καρδιακών αρρυθμιών εγκαινιάζεται στην Κεν...

    Παιδικός ποδηλατικός αγώνας στο ΙΑΣΩ Θεσσαλίας Χαμόγελα, συμμετοχή και αγάπη για το ποδήλατο
    ΙΑΣΩ ΘΕΣΣΑΛΙΑΣ

    Παιδικός ποδηλατικός αγώνας στο ΙΑΣΩ Θεσσαλίας Χαμόγελα, συμμετοχή και αγάπη για το ποδήλατο

    Ξεχωριστή θέση στο πλαίσιο της ημερίδας «Άνθρωπος και ποδήλατο – Δύο μηχανές, ...

    Με επιτυχία πραγματοποιήθηκε η επιστημονική ημερίδα «Άνθρωπος και ποδήλατο – Δύο μηχανές, μία φιλοσοφία» στο ΙΑΣΩ Θεσσαλίας
    ΙΑΣΩ ΘΕΣΣΑΛΙΑΣ

    Με επιτυχία πραγματοποιήθηκε η επιστημονική ημερίδα «Άνθρωπος και ποδήλατο – Δύο μηχανές, μία φιλοσοφία» στο ΙΑΣΩ Θεσσαλίας

    Με ιδιαίτερη επιτυχία πραγματοποιήθηκε στο ΙΑΣΩ Θεσσαλίας, η επιστημονική ημερ...