Η ολοκληρωμένη αντιμετώπιση αυτόματης ενδοεγκεφαλικής αιμορραγίας αφορμή δημιουργίας της Α΄ νευροχειρουργικής κλινικής

Η ισχύς εν τη ενώσει αποτελεί σημαντικό παράγοντα στη σωστή αντιμετώπιση ενός περιστατικού, με μοναδικό γνώμονα τη σωστή και έγκαιρη διαχείριση του και εν τέλει την πλήρη αποκατάσταση του.
Προ διμήνου αντιμετωπίστηκε επιτυχώς ένα περιστατικό με εκτεταμένη ενδοεγκεφαλική αιμορραγία δεξιού ημισφαιρίου σε ασθενή που προσήλθε στο ΙΑΣΩ Θεσσαλίας με μειωμένο επίπεδο συνείδησης, το οποίο εκτιμήθηκε έγκαιρα από τον εφημερεύοντα Παθολόγο και Διευθυντή της Α΄ Παθολογικής Κλινικής κ. Ευάγγελο Αδαμόπουλο και εν συνεχεία παραπέμφθηκε στον Νευροχειρουργό κ. Ιορδάνη Γεωργιάδη. Η έγκαιρη εκτίμηση είχε ως αποτέλεσμα η ασθενής να υποβληθεί σε επείγουσα αξονική τομογραφία εγκεφάλου και εν συνεχεία να οδηγηθεί στο χειρουργείο προς αποκατάσταση της βλάβης.
Υπεβλήθη επιτυχώς σε ευρεία αποσυμπιεστική κρανιεκτομία δεξιού εγκεφαλικού ημισφαιρίου και εν συνεχεία εισήχθη στην Μ.Ε.Θ. του ΙΑΣΩ Θεσσαλίας. Αφού σταθεροποιήθηκαν όλες οι ζωτικές της λειτουργίες, τέθηκε υπό την στενή παρακολούθηση της Εντατικολόγου, Επιστ. Υπεύθυνης της Μονάδας κας Μαρίας Μπουλοβάνα, των εφημερευόντων ιατρών και της Νευρολόγου κας Κλαίρης Χαρισίου.
Η ασθενής αφού έλαβε εξιτήριο από το ΙΑΣΩ Θεσσαλίας, συνέχισε τη νοσηλεία της σε Κέντρο Αποκατάστασης και μετά από διάστημα δύο μηνών, με σχεδόν πλήρη ανάκαμψη σε νευρολογικό επίπεδο, υπεβλήθη σε χειρουργική αποκατάσταση του οστικού ελλείμματος κρανίου (κρανιοπλαστική) από τους Νευροχειρουργούς κ.κ. Ιορδάνη Γεωργιάδη και Βασιλείο Σλατινόπουλο. Αναισθησιολόγος και στα δύο χειρουργεία ήταν ο κ. Δήμος Χαραλαμπίδης και η Ακτινολογός που παρακολουθούσε το περιστατικό ήταν η Επιστ. Υπεύθυνη του Τμήματος Ιατρικών Απεικονίσεων, κα. Βασιλική Αργυρούλη.
Έλαβε εξιτήριο μετά από ολιγοήμερη νοσηλεία, αφήνοντας πίσω της τη σοβαρή περιπέτεια υγείας διάρκειας δύο μηνών.
Η καλή συνεργασία και η συντονισμένη προσπάθεια, όλων αυτών των επιστημόνων, οδήγησαν στη δημιουργία της Α΄ Νευροχειρουργικής Κλινικής του ΙΑΣΩ Θεσσαλίας, με Διευθυντή της Κλινικής τον Δρ. Βασίλειο Σλατινόπουλο, Επιμελητή τον Νευροχειρουργό κ. Ιορδάνη Γεωργιάδη και Επιστ. Συνεργάτη τη Νευρολόγο κα. Κλεονίκη Χαρισίου. Οι παραπάνω ιατροί αποφάσισαν να ενώσουν τις γνώσεις τους και τις εμπειρίες τους προκειμένου να προσφέρουν άρτιες ιατρικές υπηρεσίες, καλύπτοντας όλο το φάσμα της Νευροχειρουργικής με επιστημονική επάρκεια.

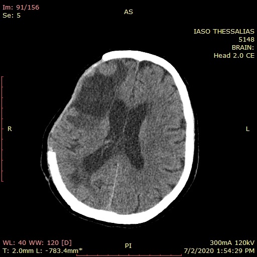
1η ΜΕΤΕΓΧΕΙΡΗΤΙΚΗ ΑΞΟΝΙΚΗ ΜΕΤΑ ΤΟ 1ο ΧΕΙΡΟΥΡΓΕΙΟ[/bt_column] [bt_column class="bt-column col-xs-12 col-sm-12 col-md-6 col-lg-6 center"]

1η ΜΕΤΕΓΧΕΙΡΗΤΙΚΗ ΑΞΟΝΙΚΗ ΜΕΤΑ ΤΟ 2ο ΧΕΙΡΟΥΡΓΕΙΟ[/bt_column] [/bt_columns]

2η ΜΕΤΕΓΧΕΙΡΗΤΙΚΗ ΑΞΟΝΙΚΗ ΕΝΑ ΜΗΝΑ ΜΕΤΑ ΤΟ 1ο ΧΕΙΡΟΥΡΓΕΙΟ[/bt_column] [bt_column class="bt-column col-xs-12 col-sm-12 col-md-6 col-lg-6 center"]

3η ΜΕΤΕΓΧΕΙΡΗΤΙΚΗ ΑΞΟΝΙΚΗ ΔΥΟ ΜΗΝΕΣ ΜΕΤΑ ΤΟ 1ο ΧΕΙΡΟΥΡΓΕΙΟ[/bt_column] [/bt_columns]